Analise o caso abaixo para responder às questões 59 e 60.
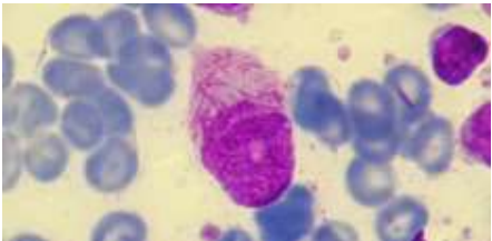
Menino, 13 anos, admitido no pronto socorro devido a febre, palidez e sangramento gengival, realizado hemograma e esfregaço de sangue periférico com os seguintes achados: Hb 8 (normocítica/normocrômica) Leucócitos 2350 (80% linfócitos, 7% segmentados, 4% monócitos e 9% células jovens) Plaquetas 35.000

Assinale a alternativa que apresenta qual o achado encontrado no esfregaço que auxiliou no diagnóstico morfológico.