Magna Concursos
Questões
Planos
Entrar
Entrar
Criar Conta
Respondida
1367825
Ano:
2010
Disciplina:
Radiologia
Banca:
ZAMBINI
Orgão:
CRTR-5
Provas:
Fiscal
Provas
×
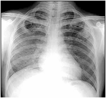
Com base na radiografia abaixo, assinale a alternativa correta:
A
Trata-se de uma radiografia do abdome em decúbito.
B
Trata-se de uma radiografia de tórax, perfil, apresentando Atelectasia.
C
Foi e deve ser feita com alta quilovoltagem e baixa mAs.
D
Foi e deve ser feita sem grade.
E
Trata-se de uma radiografia de tórax, perfil, apresentando esôfago opacificado.
Resolver
Comentários
0
×
Cadernos
×
Flashcards
×
Estatísticas
×
Reportar um erro
×
Provas
Questão presente nas seguintes provas
Fiscal
50 Questões
Resolver Prova
Publicar
Responder
Qual o problema da questão?
Selecione uma opção
Questão Desatualizada
Questão Repetida
Gabarito Errado
Outros Motivos
Mensagem
Enviar
Acessar
Criar Conta
Acesse sua Conta
Google
Facebook
Esqueci minha senha
Acessar
Ainda não tem conta?
Crie uma
!
Crie uma Conta
Criar Conta
Olá, para continuar, precisamos criar uma conta!
É
rápido
e
grátis
.
Google
Facebook
Concordo com os
Termos de Uso
Criar
Já tem uma conta?
Acesse aqui