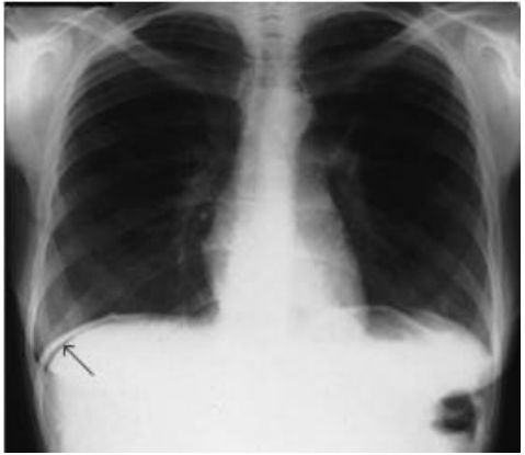
Em relação ao RX para avaliação de pneumoperitônio (vide imagem abaixo), qual é a melhor incidência?

Radiografia do tórax em posição ortostática demonstrando pequeno pneumoperitônio (seta).
Em relação ao RX para avaliação de pneumoperitônio (vide imagem abaixo), qual é a melhor incidência?

Radiografia do tórax em posição ortostática demonstrando pequeno pneumoperitônio (seta).