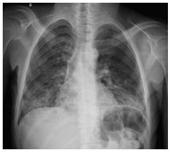
Paciente de 30 anos, com paralisia cerebral, trazido para a emergência com
dificuldade respiratória, náuseas, vômitos e desconforto abdominal. História de constipação crônica.
Sem febre e hemograma sem leucocitose, nem desvio. Com base no Rx de tórax abaixo, qual a maior
probabilidade diagnóstica?

