Magna Concursos
Questões
Planos
Entrar
Entrar
Criar Conta
Respondida
2260734
Ano:
2022
Disciplina:
Medicina
Banca:
UPENET/IAUPE
Orgão:
UPE
Provas:
Médico - Cardiologia
Provas
×
Cardiologia
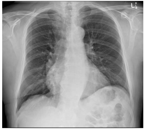
Qual das seguintes patologias abaixo estaria mais relacionada aos achados da seguinte radiografia de tórax?
A
Insuficiência aórtica
B
Coarctação da aorta
C
Embolia pulmonar
D
Estenose mitral
E
Tamponamento cardíaco
Resolver
Comentários
0
×
Cadernos
×
Flashcards
×
Estatísticas
×
Reportar um erro
×
Provas
Questão presente nas seguintes provas
Médico - Cardiologia
40 Questões
Resolver Prova
Publicar
Responder
Qual o problema da questão?
Selecione uma opção
Questão Desatualizada
Questão Repetida
Gabarito Errado
Outros Motivos
Mensagem
Enviar
Acessar
Criar Conta
Acesse sua Conta
Google
Facebook
Esqueci minha senha
Acessar
Ainda não tem conta?
Crie uma
!
Crie uma Conta
Criar Conta
Olá, para continuar, precisamos criar uma conta!
É
rápido
e
grátis
.
Google
Facebook
Concordo com os
Termos de Uso
Criar
Já tem uma conta?
Acesse aqui