Magna Concursos
Questões
Planos
Entrar
Entrar
Criar Conta
Respondida
2940020
Ano:
2023
Disciplina:
Medicina
Banca:
UFRJ
Orgão:
UFRJ
Provas:
Médico - Cardiologia
Provas
×
Cardiologia
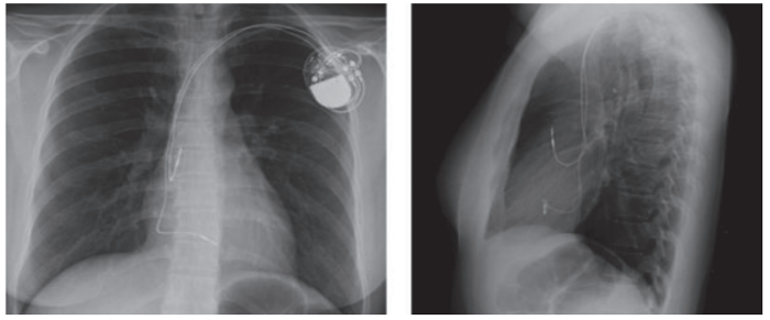
Uma paciente de 68 anos com doença do nódulo sinusal e síncope foi submetida a implante de marcapasso definitivo. De acordo com a sua radiografia de tórax, assinale a opção que representa o tipo de dispositivo implantado.
A
Marcapasso VVI.
B
Marcapasso DDD.
C
Marcapasso ressincronizador.
D
Marcapasso AAI.
E
Cardiodesfibrilador.
Resolver
Comentários
0
×
Cadernos
×
Flashcards
×
Estatísticas
×
Reportar um erro
×
Provas
Questão presente nas seguintes provas
Médico - Cardiologia
54 Questões
Resolver Prova
Publicar
Responder
Qual o problema da questão?
Selecione uma opção
Questão Desatualizada
Questão Repetida
Gabarito Errado
Outros Motivos
Mensagem
Enviar
Acessar
Criar Conta
Acesse sua Conta
Google
Facebook
Esqueci minha senha
Acessar
Ainda não tem conta?
Crie uma
!
Crie uma Conta
Criar Conta
Olá, para continuar, precisamos criar uma conta!
É
rápido
e
grátis
.
Google
Facebook
Concordo com os
Termos de Uso
Criar
Já tem uma conta?
Acesse aqui