
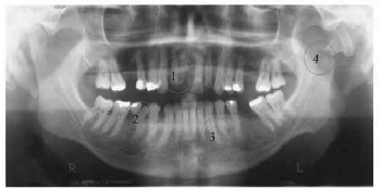
Tendo como referência a imagem radiográfica acima, assinale a opção que apresenta a identificação incorreta.
Tendo como referência a imagem radiográfica acima, assinale a opção que apresenta a identificação incorreta.

Tendo como referência a imagem radiográfica acima, assinale a opção que apresenta a identificação incorreta.
Tendo como referência a imagem radiográfica acima, assinale a opção que apresenta a identificação incorreta.