Magna Concursos
2715184 Ano: 2022
Disciplina: Medicina
Banca: IBFC
Orgão: SESAcre
Provas:

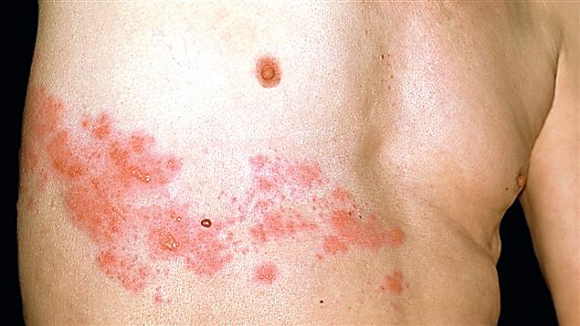
Homem, 55 anos, está internado em enfermaria clínica, no quarto dia de tratamento para pielonefrite. É portador de artrite reumatoide, razão pela qual está em uso de metotrexato 20 mg na semana, ácido fólico 5 mg na semana, prednisona 10 mg ao dia e infliximabe a cada dois meses. Há três dias, evoluiu com dor em queimação em região inferior de hemitórax e hipocôndrio direitos, com irradiação para o dorso ipsilateral. Hoje, no exame físico, notam-se as lesões apresentadas na Figura 4.

Enunciado 3340585-1

----------------------------------------------Figura 4. Lesões em hemitórax e hipocôndrio direitos

Assinale a alternativa que apresenta qual a conduta em relação ao tratamento das lesões e ao isolamento do paciente.

 

Provas

Questão presente nas seguintes provas

Médico - Clínica Médica

80 Questões