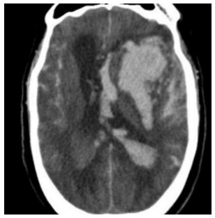
Uma mulher de 32 anos de idade, com antecedentes de ansiedade e enxaqueca, compareceu ao pronto-socorro
trazida por uma viatura do SAMU acompanhada por uma amiga, com relato de cefaleia holocraniana intensa, que teve início
duas horas antes, além de vômitos intensos, mal-estar e rebaixamento do nível de consciência durante o transporte. A seguir,
consta a tomografia computadorizada do crânio.
Assinale a alternativa adequada.
Assinale a alternativa adequada.