Em relação ao exame obstétrico do primeiro trimestre, podemos afirmar:
I - A mensuração da transluscência nucal é realizada em corte transversal, com o feto em posição neutra.
II - A medida do CCN (comprimento cabeçanádegas) deve estar entre 45-90 mm para realização da avaliação morfológica do 1º trimestre.
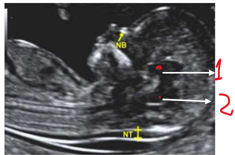
III - As estruturas assinaladas na imagem abaixo, correspondem ao diencéfalo (1) e ao tronco cerebral/ponte e bulbo (2).
IV - A imagem deve estar ampliada de maneira que apenas a cabeça e a parte superior do tórax sejam vistas.

Provas
Questão presente nas seguintes provas