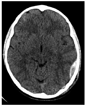
Considere a descrição e a imagem a seguir:
Menino sofreu queda há aproximadamente 4 horas. Estava andando de skate na rua e caiu de costas, no chão, e bateu a cabeça. Apresentou vômitos, está um pouco sonolento; fez a seguinte tomografia, sem contraste.

O diagnóstico é de hematoma