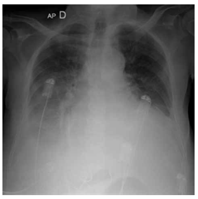
Homem, 76 anos, hipertenso e portador de miocardiopatia isquêmica, queixa-se de mal-estar, dispneia em repouso, dispneia paroxística noturna e, na última semana, ortopneia. Medicamentos em uso: captopril 25 mg; a cada 8 horas; furosemida 40 mg; espironolactona 50 mg; aspirina 100 mg e sinvastatina 20 mg. Exame físico: paciente lúcido e orientado no tempo e no espaço, presença de edema em membros inferiores 4+/4, extremidades frias, perfusão lentificada, pressão arterial = 90 x 50 mmHg, SpO2 = 89%, ausculta cardíaca com terceira bulha e ausculta pulmonar com estertores crepitantes nos dois terços inferiores de ambos os pulmões. Realizada radiografia de tórax, que está ilustrada a seguir.

O tratamento correto deverá, obrigatoriamente, incluir