Magna Concursos
901589 Ano: 2016
Disciplina: Medicina
Banca: Consulplan
Orgão: Pref. Sabará-MG
Provas:
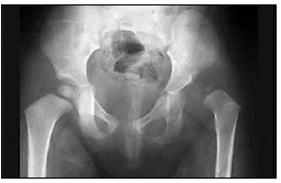
Considere uma criança com sinal de Trendelemburg positivo e a seguinte radiografia com quadril:
Enunciado 901589-1
É correto afirmar que trata-se de
 

Provas

Questão presente nas seguintes provas

Médico - Radiologista

50 Questões