Magna Concursos
2958887 Ano: 2023
Disciplina: Medicina
Banca: VUNESP
Orgão: EsFCEx

Homem de 55 anos, condutor de veículo, sofreu acidente automobilístico (colisão frontal auto versus auto) e deu entrada na emergência conduzido pelo SAMU 192. A equipe de plantonistas realizou o atendimento inicial de acordo com o preconizado pelo ATLS™:

  • A: vias aéreas pérvias com colar cervical.
  • B: ausência de alterações na semiologia cardiopulmonar; FR: 18 mrpm; Sat. O2: 96%.
  • C: PA 110/75 mmHg; FC: 112 bpm; tempo de enchimento capilar < 2 segundos, ausência de sangramentos externos, pulsos normais, abdome tenso, doloroso à esquerda e sem sinais de irritação peritoneal; pelve sem alterações.
  • D: ECG=15, pupilas isocóricas e fotorreagentes.
  • E: escoriações em flanco esquerdo.

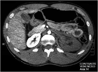
Foi realizado FAST (Focused Assesment with Sonography for Trauma), que detectou líquido livre no espaço de Traube. Foi realizada tomografia de abdome com contraste, cujo laudo revelou lesão do pedículo vascular esquerdo com hemorragia contida (imagem demonstrada a seguir).

Enunciado 3281917-1

(Arquivo pessoal; imagem usada com autorização)

Considerando-se o descrito no enunciado, a imagem apresentada e a classificação mais utilizada e adotada pela AAST (American Association for the Surgery of Trauma), assinale a alternativa que contempla o diagnóstico da lesão renal baseado na classificação da AAST.

 

Provas

Questão presente nas seguintes provas

CFO-SSau - Médico/Cirurgia Geral

60 Questões