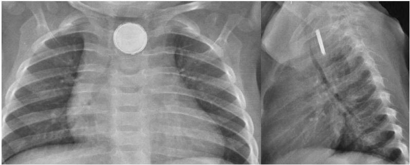
Menino, 2 a, é levado ao pronto-socorro com história de um episódio de vômito após engasgo enquanto brincava sem supervisão. No momento assintomático. Última mamadeira de 200 ml de leite há duas horas. O acompanhante acredita que faltam peças do brinquedo e que a criança pode ter ingerido algo. Radiograma de tórax:

A CONDUTA É: