Magna Concursos
Questões
Planos
Entrar
Entrar
Criar Conta
Respondida
1413181
Ano:
2016
Disciplina:
Farmácia
Banca:
IDECAN
Orgão:
CBM-DF
Provas:
Oficial Bombeiro Militar - Farmácia
Provas
×
Análises Clínicas
Hematologia
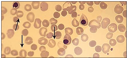
Ao analisar uma lâmina de um esfregaço sanguíneo no microscópio, o bioquímico encontrou a seguinte alteração morfológica indicada pelas setas.
Esse tipo de alteração morfológica caracteriza qual tipo de anemia?
A
Leucemia.
B
Talassemia.
C
Falsiforme.
D
Hemolítica hereditária.
Resolver
Comentários
0
×
Cadernos
×
Flashcards
×
Estatísticas
×
Reportar um erro
×
Provas
Questão presente nas seguintes provas
Oficial Bombeiro Militar - Farmácia
80 Questões
Resolver Prova
Publicar
Responder
Qual o problema da questão?
Selecione uma opção
Questão Desatualizada
Questão Repetida
Gabarito Errado
Outros Motivos
Mensagem
Enviar
Acessar
Criar Conta
Acesse sua Conta
Google
Facebook
Esqueci minha senha
Acessar
Ainda não tem conta?
Crie uma
!
Crie uma Conta
Criar Conta
Olá, para continuar, precisamos criar uma conta!
É
rápido
e
grátis
.
Google
Facebook
Concordo com os
Termos de Uso
Criar
Já tem uma conta?
Acesse aqui