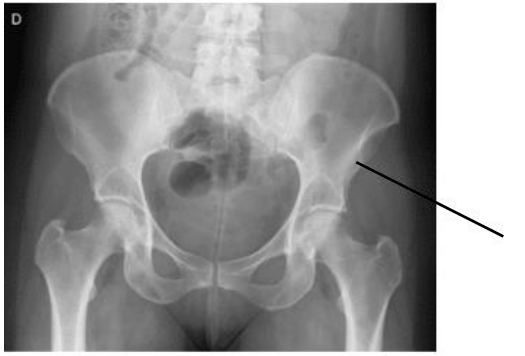
No exame abaixo podemos visualizar um detalhe anatômico ósseo denominado:

Fonte: https://anatomia-papel-e-caneta.com/posicionamento-radiologico-mmii-bacia-quadril/
No exame abaixo podemos visualizar um detalhe anatômico ósseo denominado:

Fonte: https://anatomia-papel-e-caneta.com/posicionamento-radiologico-mmii-bacia-quadril/