Paciente feminina, 34 anos, apresenta
dor abdominal em hipogástrio E há 2
anos, sem fatores de melhora ou piora
da dor. Dores esporádicas e de leve
intensidade. Sem comorbidades. Gesta
1. Como cirurgias prévias, apresenta:
Apendicectomia e cir. plástica de
mamas. Exame físico normal. Ao realizar
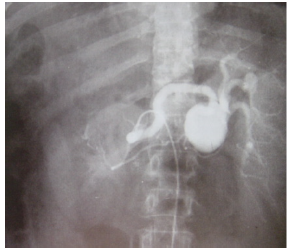
ecografia abdominal e arteriografia de
abdômen, obteve-se a seguinte imagem:
