Observe a imagem, a seguir:

Podemos observar, nitidamente, nesta radiografia, um infiltrado à direita, compatível com uma consolidação lobar, o que configura:
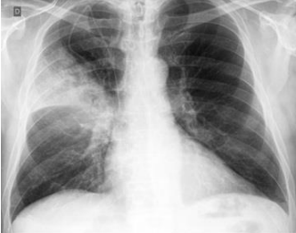
Observe a imagem, a seguir:

Podemos observar, nitidamente, nesta radiografia, um infiltrado à direita, compatível com uma consolidação lobar, o que configura: