Magna Concursos
2173733 Ano: 2021
Disciplina: Medicina
Banca: VUNESP
Orgão: EsFCEx

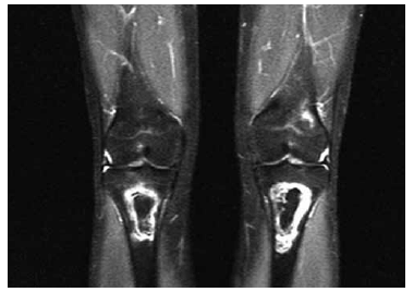
Paciente fez tratamento de leucemia e agora está com dor nos joelhos. A ressonância dos joelhos demonstra:

Enunciado 2173733-1

O diagnóstico mais provável é:

 

Provas

Questão presente nas seguintes provas

CFO-SSau - Médico/Radiologia

60 Questões