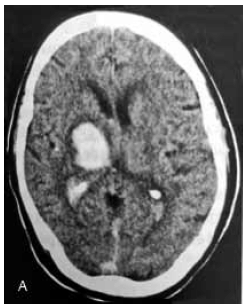
Paciente de 61 anos, admitido no pronto-socorro com duas horas de início de hemiplegia completa à esquerda. Sinais vitais na admissão: Pressão arterial 200/120 mmHg, glicemia capilar 134 mg/dL. Tomografia de crânio sem contraste abaixo. Assinale a alternativa correta referente a este caso clínico.
