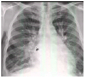
Homem, 56 anos, admitido na emergência por quadro de dispneia há 5 dias, com piora progressiva, evoluindo com tosse seca e ortopneia. Na admissão, se apresenta dispneico, com estertores em 2/3 inferiores de tórax e extremidades frias. PA: 150 x 70mmHg FC: 100. Nega febre ou expectoração. Sem histórico prévio de doença cardíaca. Não faz uso de medicações. Radiografia de tórax abaixo.

Qual a conduta inicial?
LEGENDA: PA: pressão arterial; FC: frequência cardíaca
Provas
Questão presente nas seguintes provas