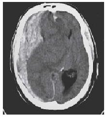
Paciente de 70 anos, diabético, hipertenso e portador de fibrilação atrial, apresentou síncope com queda no banheiro em casa há 2 horas e deu entrada no pronto-socorro queixando-se de dor na cabeça. Estava confuso, com Glasgow 12, PA 100/70 mmHg, FC 90 bpm, SPO2 96% e glicemia capilar 183 mg/dl. Evoluiu nas horas seguintes com rebaixamento do nível de consciência e necessidade de entubação e suporte hemodinâmico. Após estabilização, realizou TC de crânio sem contraste, com a seguinte imagem:

O diagnóstico para o caso acima é:
Provas
Questão presente nas seguintes provas
Analista Judiciário - Medicina/Clínica Geral
80 Questões