Magna Concursos
2171265 Ano: 2021
Disciplina: Medicina
Banca: VUNESP
Orgão: EsFCEx

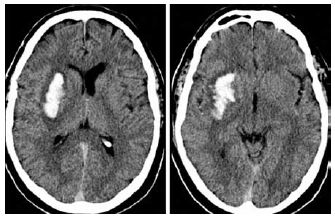
Considere a tomografia sem contraste apresentada a seguir.

Enunciado 2171265-1

O diagnóstico mais provável é

 

Provas

Questão presente nas seguintes provas

CFO-SSau - Médico/Medicina Intensiva

60 Questões