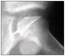
“Criança, sexo masculino, 5 anos de idade, apresenta claudicação na marcha e dificuldade ao fazer a rotação interna do quadril. Apresenta o exame de imagem do quadril na incidência de Lauenstein.”

De acordo com o exposto, trata-se provavelmente de