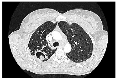
Paciente do sexo masculino com 53 anos de idade procura pneumologista devido ao surgimento de hemoptise há, aproximadamente, 3 meses. Relata que os episódios têm sido mais frequentes e com maior volume de sangue eliminado. A tomografia de tórax do paciente é apresentada a seguir.

A melhor conduta terapêutica para esse paciente é