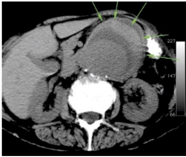
A angioTC foi o maior avanço no diagnóstico das patologias da aorta abdominal dos últimos 15 anos.

MAFFEI, F. H. de A. at al. Doenças vasculares periféricas, v.
1 e 2. 5. ed. Rio de Janeiro: Guanabara Koogan, 2016.p. 678.
O cirurgião vascular deverá dominar este método de diagnóstico por imagem que poderá ser útil tanto no diagnóstico como no planejamento do tratamento, um dos sinais de ruptura é visibilizado na figura acima, que sinal é esse?