Magna Concursos
3691133 Ano: 2025
Disciplina: Medicina
Banca: FGV
Orgão: MPU
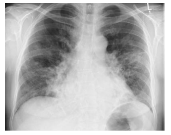
Uma paciente de 60 anos, sem comorbidades, iniciou há dois dias quadro de tosse com expectoração purulenta, febre e dispneia. O diagnóstico foi confirmado com a realização de radiografia de tórax representada na imagem abaixo.
Enunciado 4443328-1
O agente causador mais provável para a doença apresentada é:
 

Provas

Questão presente nas seguintes provas