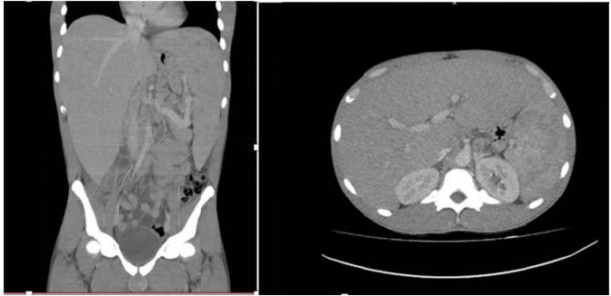
Mulher, 23 anos, procura atendimento referindo febre diária, astenia e perda de 8kg em um mês, além de aumento do volume abdominal com empachamento pós-prandial. Exame físico: Regular estado geral, emagrecida descorada (+2/4); micropoliadenopatia cervical bilateral. Abdômen: fígado palpável a 8cm do RCD, baço a 8cm RCE, doloroso à palpação. Exames laboratoriais: hemoglobina 8,7g/dL; leucócitos 43.320/mm³ (60% eosinófilos), plaquetas 98.00/mm³. Tomografia computadorizada de abdômen: imagem abaixo.
Realizada punção esplênica: presença de estruturas com parede dupla birrefringente e brotamentos.

Considerando a principal hipótese diagnóstica, é correto: