

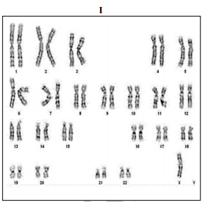
Algumas vezes, o cariótipo humano pode apresentar variações que se configuram em mutações em grande escala, as alterações cromossômicas, e que são classificadas como numérica e estrutural. Os cariótipos apresentados (I e II) representam alterações cromossômicas numéricas. Assinale a alternativa que indica a nomenclatura correta de cada distúrbio.