Paciente mulher, de 40 anos, sem comorbidades conhecidas,
chega à avaliação cardiológica com relato de tontura, tosse e
dispneia aos pequenos esforços iniciados há aproximadamente 1
mês.
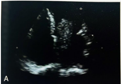
Na consulta, traz imagem de ecocardiograma transtorácico, corte quatro câmaras, com descrição de massa em átrio esquerdo com densidade homogênea, contornos irregulares, móvel, com fixação em septo interatrial, projetando-se para cavidade do ventrículo esquerdo:

BRAUNWALD. Tratado de Doenças Cardiovasculares. 9ª Ed. Figura 74-1; página 1681.
Baseado no quadro clínico, na imagem apresentada e no diagnóstico mais provável, para as afirmativas a seguir, assinale (V) para a verdadeira e (F) para a falsa.
( ) É o tipo mais comum de tumor cardíaco primário. ( ) 90% dos casos está associado à ocorrência em pessoas da mesma família. ( ) A maioria dos pacientes se apresenta de forma assintomática. ( ) A maioria das lesões ocorre em mulheres.
As afirmativas são, respectivamente,
Na consulta, traz imagem de ecocardiograma transtorácico, corte quatro câmaras, com descrição de massa em átrio esquerdo com densidade homogênea, contornos irregulares, móvel, com fixação em septo interatrial, projetando-se para cavidade do ventrículo esquerdo:

BRAUNWALD. Tratado de Doenças Cardiovasculares. 9ª Ed. Figura 74-1; página 1681.
Baseado no quadro clínico, na imagem apresentada e no diagnóstico mais provável, para as afirmativas a seguir, assinale (V) para a verdadeira e (F) para a falsa.
( ) É o tipo mais comum de tumor cardíaco primário. ( ) 90% dos casos está associado à ocorrência em pessoas da mesma família. ( ) A maioria dos pacientes se apresenta de forma assintomática. ( ) A maioria das lesões ocorre em mulheres.
As afirmativas são, respectivamente,