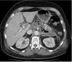
FHC, sexo masculino, 53 anos, na terceira semana de tratamento de pancreatite aguda, realizou a TC de abdome a seguir.

Fonte: Ultimate radiology: acute necrotizing pancreatitis. Disponível em: ultimate-radiology.blogspot.com. Acesso em: 20 ago. 2024.
Qual complicação pode ser identificada na TC?