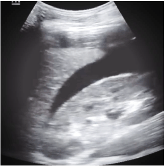
Paciente masculino de 18 anos com história de agressão física com chutes na região abdominal. Na avaliação inicial, observa-se pulsos cheios e rítmicos, e boa perfusão periférica, sem sudorese ou palidez, frequência cardíaca de 78bpm e saturação de O2 de 97% em ar ambiente. O esfigmomanômetro não está disponível. Realizado um FAST (focused assessment with sonography for trauma), que identifica a imagem abaixo. Qual alternativa contempla a conduta mais adequada nesse momento?
