Magna Concursos
448709 Ano: 2008
Disciplina: Medicina
Banca: FGV
Orgão: Senado

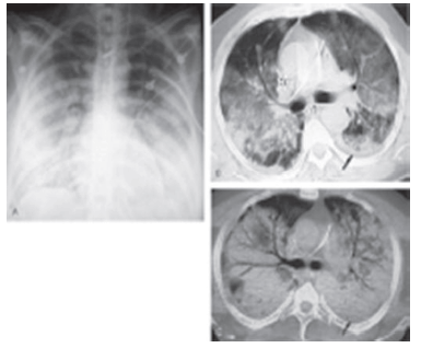
O conjunto de imagens abaixo representa o diagnóstico de:

Enunciado 2610513-1

 

Provas

Questão presente nas seguintes provas

Analista Legislativo - Medicina

80 Questões