Paciente do sexo masculino, 72 anos de idade, extabagista, DPOC (GOLD II), chega ao pronto-socorro
com febre, tosse purulenta, dispneia progressiva e
confusão mental. Ao exame físico: PA: 82 × 50 mmHg;
FC: 118 bpm; FR: 28 irpm; SpO2: 90% com cateter
3 L/min; T: 38,7 ºC; tempo de enchimento capilar de
5 s; extremidades frias. Na abordagem terapêutica inicial, o paciente recebeu ringer lactato (2.100 mL EV) em
45 minutos e antibioticoterapia de amplo espectro (piperacilina-tazobactam 4,5 g EV).
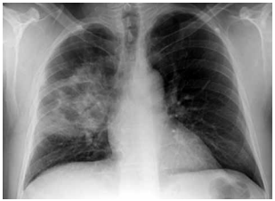
Porém, após a reposição volêmica, o paciente apresenta PA: 86 × 52 mmHg; FC: 116 bpm; saturação venosa de O2: 61%; lactato: 4,6 mmol/L (antes 4,9). Gasometria venosa: pH: 7,31; PvCO2: 46 mmHg; HCO3: 22 mEq/L. Creatinina: 2,2 mg/dL (baseline 1,0); bilirrubinas normais; leucócitos: 17.800/mm3; PCR: 22 mg/dL. Realizou-se a radiografia de tórax a seguir:
(Arquivo pessoal; imagem usada com autorização)
Qual é a intervenção hemodinâmica apropriada nesse momento?
Porém, após a reposição volêmica, o paciente apresenta PA: 86 × 52 mmHg; FC: 116 bpm; saturação venosa de O2: 61%; lactato: 4,6 mmol/L (antes 4,9). Gasometria venosa: pH: 7,31; PvCO2: 46 mmHg; HCO3: 22 mEq/L. Creatinina: 2,2 mg/dL (baseline 1,0); bilirrubinas normais; leucócitos: 17.800/mm3; PCR: 22 mg/dL. Realizou-se a radiografia de tórax a seguir:
(Arquivo pessoal; imagem usada com autorização)
Qual é a intervenção hemodinâmica apropriada nesse momento?
Provas
Questão presente nas seguintes provas