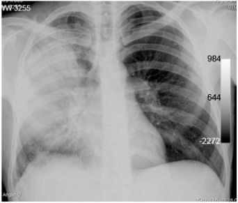
Paciente do sexo masculino, 35 anos, chegou ao pronto-socorro com febre alta há cinco dias, expectoração e tosse produtiva. O médico que o atendeu, após o exame clínico, solicitou uma radiografia de tórax (abaixo).

A partir dos dados apresentados, assinale a alternativa que representa o achado radiológico.
Provas
Questão presente nas seguintes provas
Médico - Radiologia e Diagnóstico por Imagem
50 Questões