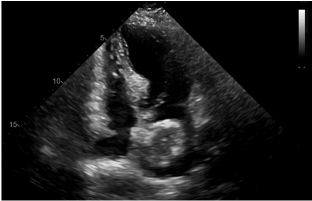
Paciente de 42 anos de idade, sexo feminino, relata há alguns meses perda ponderal, fadiga, mal-estar. Há dois meses refere episódios de síncope e dispneia aos moderados esforços. A paciente realizou ecocardiograma transtorácico com a imagem abaixo. Com base nessa situação hipotética, de acordo com a história clínica, epidemiologia e achado ecocardiográfico, o diagnóstico mais provável é

Imagem: arquivo pessoal.