Magna Concursos
1678318 Ano: 2019
Disciplina: Medicina
Banca: IADES
Orgão: FEPECS

Enunciado 1678318-1

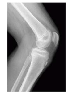
R.L.P, de 14 anos de idade, joga futebol diariamente com colegas de bairro, por ao menos quatro horas diárias. Iniciou, há cerca de um ano, com queixas de dor anterior em ambos os joelhos. Foi realizada a radiografia apresentada.

Com base nesse caso clínico e nos conhecimentos médicos correlatos, julgue os itens a seguir.

O paciente deve ser afastado do esporte por cerca de seis meses.
 

Provas

Questão presente nas seguintes provas