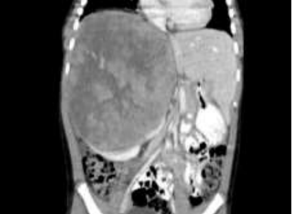
Menino, 5 anos, negro, admitido no Pronto Socorro com a queixa de aumento do volume abdominal, sem dor ou demais sintomas associados. Realizada Tomografia Computadorizada de abdome que evidencia a seguinte imagem:

Coletadas catecolaminas urinárias com VMA=10 e VMA=15.
Sobre a principal hipótese diagnóstica, assinale a afirmativa incorreta.