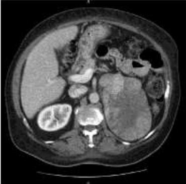
Menino de 1 ano e 3 meses, procura pediatra devido a aumento do tamanho peniano, pilificação escrotal e acne em face. A colega solicita uma RM Crânio que não evidencia alterações e TC abdome com a seguinte imagem:

Sobre a sua hipótese diagnóstica, é incorreto afirmar: