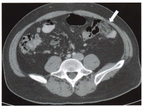
Mulher de 29 anos inicia com dor
abdominal aguda em flanco esquerdo.
O sintoma é bem localizado e a
paciente consegue apontar o local
exato da dor. Realizada tomografia
com contraste endovenoso que
evidencia densificação focal da
gordura pericolônica esquerda, na
borda antimesentérica, com aspecto
em “dedo de luva”, apontado pela
seta na figura abaixo. Assinale a
alternativa com o diagnóstico
CORRETO:

