Magna Concursos
2975959 Ano: 2023
Disciplina: Medicina
Banca: VUNESP
Orgão: Pref. Itapevi-SP

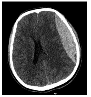
Adolescente de 13 anos de idade é trazido ao pronto-socorro por episódio de queda da bicicleta com traumatismo da região lateral da cabeça. Inicialmente, ele se apresentava alerta, porém, após 25 minutos do acidente, evoluiu com diminuição do nível de consciência. Tomografia de crânio sem contraste realizada na urgência demonstra o achado a seguir.

Enunciado 3328584-1

A estrutura vascular mais provavelmente acometida neste quadro é:

 

Provas

Questão presente nas seguintes provas