Magna Concursos
2607350 Ano: 2022
Disciplina: Medicina
Banca: Consulplan
Orgão: PM-RN
Provas:

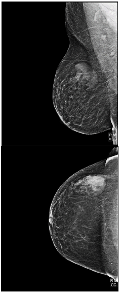
Paciente, 50 anos, com nódulo palpável em exame físico, comparece com resultado de mamografia. Observe as imagens a seguir:

Enunciado 2607350-1

A imagem demonstrada é característica de qual lesão?

 

Provas

Questão presente nas seguintes provas

QOSPM - Médico/Mastologia

80 Questões