Magna Concursos
Questões
Planos
Entrar
Entrar
Criar Conta
Respondida
2720450
Ano:
2023
Disciplina:
Radiologia
Banca:
Pref. Bauru-SP
Orgão:
Pref. Bauru-SP
Provas:
Médico - Radiologista
Provas
×
Patologia, Diagnóstico e Tratamento Radioterápico
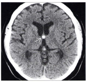
Tomografia do crânio sem contraste em corte axial ao nível do forame de Monro demonstra a imagem apontada pela seta na figura abaixo. O diagnóstico
CORRETO
é:
A
Cisto coloide.
B
Meningioma calcificado.
C
Astrocitoma de células gigantes.
D
Sangramento no interior do cavo do septo pelúcido.
Resolver
Comentários
0
×
Cadernos
×
Flashcards
×
Estatísticas
×
Reportar um erro
×
Provas
Questão presente nas seguintes provas
Médico - Radiologista
40 Questões
Resolver Prova
Publicar
Responder
Qual o problema da questão?
Selecione uma opção
Questão Desatualizada
Questão Repetida
Gabarito Errado
Outros Motivos
Mensagem
Enviar
Acessar
Criar Conta
Acesse sua Conta
Google
Facebook
Esqueci minha senha
Acessar
Ainda não tem conta?
Crie uma
!
Crie uma Conta
Criar Conta
Olá, para continuar, precisamos criar uma conta!
É
rápido
e
grátis
.
Google
Facebook
Concordo com os
Termos de Uso
Criar
Já tem uma conta?
Acesse aqui