Criança, 18 meses, levada a consulta de rotina na Unidade Básica de Saúde.
Durante a avaliação a mãe relata que a criança estava se desenvolvendo bem, andando, no entanto, há 2 meses parou de andar, está inapetente e por vezes vomita.
Em seu histórico de saúde: nascido a termo, parto vaginal, apgar 9/10, sem intercorrências gestacionais ou periparto. Vacinação adequada para a idade.
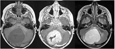
Durante o exame físico criança alerta, chorosa, fontanela anterior abaulada, aumento do perímetro cefálico.
Encaminhado a um pronto socorro pediátrico aonde foi submetido a ressonância nuclear magnética (RNM – figura 3):

Figura 3 RNM de crânio
Assinale a alternativa correta a respeito do quadro da paciente.