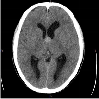
São lesões benignas que correspondem a 0,5% - 1% dos tumores cerebrais primários e a 15% - 20% das massas intraventriculares. Mais de 99% dessas lesões são encontradas no forame de Monro, tipicamente centradas no teto do terceiro ventrículo. A tomografia computadorizada (sem contraste venoso) abaixo é de um homem de 32 anos, previamente assintomático, com queixa atual de forte cefaleia há dois dias, e representa um caso típico destas lesões. Assinale a alternativa correta que contém o diagnóstico provável e complicações que podem ocorrer, até mesmo quando, a lesão tem pequenas dimensões.
