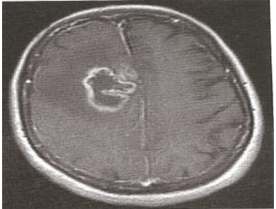
Paciente, sexo masculino, realizou uma ressonância magnética de encéfalo, mostrada na figura abaixo, e o exame histopatológico demonstra neoplasia glial com necrose e hiperplasia endotelial.

RM axial ponderada em T1 pôs-contraste.
Qual das opções abaixo de tratamento serão potencialmente benéficas?