Paciente, masculino 39 anos, foi à Unidade de Pronto Atendimento no ABC Paulista, devido a equimoses nos membros inferiores e superiores. Relatou febre de 38 ºC por dois dias consecutivos e coceira intensa no corpo. O médico plantonista solicitou a realização de um hemograma. O laudo do hemograma demonstrou as seguintes concentrações de celularidades:
| HEMOGRAMA COMPLETO |
||||
| ERITROGRAMA |
VALOR DE REFERÊNCIA |
|||
| ERITRÓCITOS: |
3.85 milh/mm3 | 4,5 – 5,5 milh/mm3 |
||
| HEMOGLOBINA: |
8.2 g/dL | 13 – 17 g/dL |
||
| HEMATÓCRITO: |
25% |
40 – 50 % |
||
| VOLUME GLOBULAR MÉDIO: |
80 mcm3 |
80 – 100 mcm3 |
||
| HEMOGLOBINA GLOBULAR MÉDIA: |
27 pg | 27 – 32 pg |
||
| CONC. HEMOGLO. GLOB. MÉDIA: |
31.5 g/dL |
31,5 – 36 g/dL |
||
| RDW: |
17.2% |
12 – 15 % |
||
| OBSERVAÇÕES: |
||||
| LEUCOGRAMA |
||||
| % |
103/mm3 |
|||
| LEUCÓCITOS: |
3.6 103/mm3 | 4,5 – 11,0 |
||
| SEGMENTADOS: |
24.3 % |
4,81 103/mm3 | 50,0 – 80,0 |
2,00 – 8,00 |
| EOSINÓFILOS: |
1.0 % |
0.30 103/mm3 |
0 – 5,0 |
0 – 0,40 |
| BASÓFILOS: |
0.5 % |
0.04 103/mm3 |
0 – 2,0 |
0 – 0,20 |
| LINFÓCITOS: |
63.5 % |
1.84 103/mm3 |
25,0 – 50,0 |
1,00 – 5,00 |
| MONÓCITOS: |
6.7 % |
0.51 103/mm3 |
2,0 – 10,0 |
0,10 – 1,00 |
| LINFÓCITOS ATÍPICOS: |
0.0 % |
0.00 103/mm3 |
0 – 2,0 |
0 – 0,20 |
| MIELÓCITOS: |
0.0 % |
0.00 103/mm3 |
0 – 2,0 |
0 – 0,20 |
| METAMIELÓCITOS: |
0.0 % |
0.00 103/mm3 |
||
| BASTONETES: |
3.0 % |
0.08 103/mm3 |
||
| OBSERVAÇÕES: |
||||
| PLAQUETAS – CONTAGEM |
||||
| Plaquetas : |
24 103/mm3 |
|||
| VPM : |
11,4 mcm3 |
|||
| OBSERVAÇÕES: |
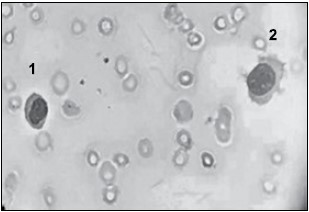
Foi realizado o esfregaço sanguíneo para confirmação do laudo. Assinale a alternativa que apresenta a descrição das células sinalizadas a seguir e a patologia a qual correspondem.
Figura 2

(Laudo e imagem cedidos pelo Laboratório de Análises Clínicas do Centro Universitário FMABC)