INSTRUÇÃO: Observe as figuras a seguir para responder à questão.

As setas nas figuras acima apontam respectivamente estruturas anatômicas nos exames de tomografia computadorizada. Marque a alternativa que apresenta a sequência correta.
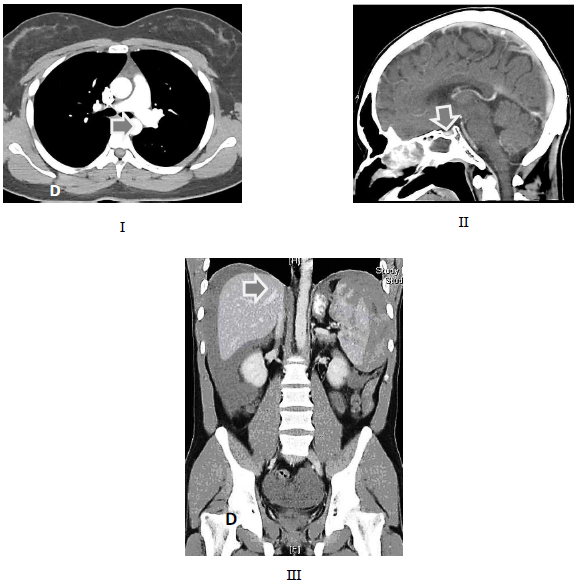
INSTRUÇÃO: Observe as figuras a seguir para responder à questão.

As setas nas figuras acima apontam respectivamente estruturas anatômicas nos exames de tomografia computadorizada. Marque a alternativa que apresenta a sequência correta.