Magna Concursos
2171447 Ano: 2021
Disciplina: Medicina
Banca: VUNESP
Orgão: EsFCEx

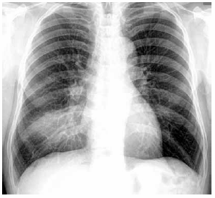
Homem de 51 anos de idade, em tratamento quimioterápico para câncer de cólon, apresenta quadro de mal-estar, sudorese, dispneia e tosse seca há 3 dias. O último ciclo da quimioterapia foi realizado há 10 dias. PA: 91 x 44 mmHg, FC: 114 bpm, FR: 28 ipm, SatO2: 89% e T: 38,3 ºC; tórax e abdome: NDN. Leucograma: 195/mm3. A radiografia de tórax realizada é apresentada a seguir.

Enunciado 2171447-1

Nesse momento, o melhor esquema antimicrobiano inicial é

 

Provas

Questão presente nas seguintes provas

CFO-SSau - Médico/Medicina Intensiva

60 Questões